地元暮らしをちょっぴり楽しくするようなオリジナル情報なら、千歳・恵庭の地域情報サイト「まいぷれ」!
文字サイズ文字を小さくする文字を大きくする

千歳・恵庭の地域情報サイト「まいぷれ」千歳・恵庭

「ほくよう歯科クリニック」新しい医療設備・医療技術を提供できる千歳の歯科医院です

ほくよう歯科クリニック

ホクヨウシカクリニック

新しい医療設備・医療技術を提供できる千歳の歯科医院です

一般歯科・小児歯科・矯正歯科・口腔外科
  • 定休日
    詳細
    • 日曜日 定休日
    • 月曜日 定休日
    • 火曜日 09:00~17:00
    • 水曜日 09:00~17:00
    • 木曜日 09:00~17:00
    • 金曜日 09:00~17:00
    • 土曜日 09:00~17:00
0123-40-1818
  • 定休日
    詳細
    • 日曜日 定休日
    • 月曜日 定休日
    • 火曜日 09:00~17:00
    • 水曜日 09:00~17:00
    • 木曜日 09:00~17:00
    • 金曜日 09:00~17:00
    • 土曜日 09:00~17:00
  • 千歳市北陽6-18-3

私たちが大切にしていること。それは、自分の家族を治療する気持ちで、常に丁寧で誠意をもって関わることです。

ナチュラルで優しい雰囲気の院内、診療室は通常より大きめに設計し、家族で通いやすいようにしています♪

専門の違う二人の歯科医師がおり、幅広い診療科目に対応できます。

歯並び矯正や前歯を綺麗に治す治療など、歯のお悩みご相談下さい

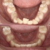
当院は、マウスピース矯正やインプラント・セラミック施術など見た目と噛み合わせの両方を治す治療に力を入れています。

マウスピース矯正は、目立たないので周囲の人に気付かれにくく、ワイヤーがぶつかることもないので快適に歯並びを綺麗にできるのがメリット。

3Dカメラ(i-Tero)や歯科用顕微鏡を導入し、正確な検査、医学的根拠のある精密検査を心掛けています。

更に詳しい情報は、クリニックのInstagramをご覧ください。

マウスピース矯正はメリットがいっぱいです!「ほくよう歯科クリニック」
マウスピース矯正はメリットがいっぱいです!
子育て世代の方が多いこの場所で、地域に根差した医院を目指して「ほくよう歯科クリニック」
子育て世代の方が多いこの場所で、地域に根差した医院を目指して

クリニック2階にホワイトニングサロン『LUXE WHITE』

2023年11月、クリニック2階にホワイトニング専用『LUXE WHITE』がオープン。

医療ホワイトニング研修を修了した国家資格を有する専門スタッフが施術にあたります。
その技術にはもちろん自信を持ってご提供しますし、当サロンの良さはその技術だけに留まりません。

ただホワイトニングをするだけの場所ではなく、お客様の『なりたい』に寄り添う大人の隠れ家サロン。

ここにいる時だけは日々の忙しさを忘れて、自分の為だけに時間を過ごして欲しいという想いから、サロンの内装やデザインにはこだわりワクワクできる空間を目指しました。

アロマが香るゆったりしたプライベート空間で、贅沢にゆっくりお過ごし下さい。

そのような観点から、お子様の入室はご遠慮いただいております。ご了承下さい。

白とグレーを基調とした清潔感のあるサロンです♪「ほくよう歯科クリニック」
白とグレーを基調とした清潔感のあるサロンです♪
歯科医院スタッフが全員勉強し、資格を持っています。「ほくよう歯科クリニック」
歯科医院スタッフが全員勉強し、資格を持っています。

保育士と管理栄養士がいる珍しい歯科医院です

ポカン口など、口周りに悪い癖があると、全身の健康や歯並びに影響が出てきます。
当院は、お子さんの口腔機能を正しく発達させる治療にも力を入れています。

また『お口を育てる離乳食教室』や『予防矯正のトレーニング』を定期開催しています♪
  • 定休日
    詳細
    • 日曜日 定休日
    • 月曜日 定休日
    • 火曜日 09:00~17:00
    • 水曜日 09:00~17:00
    • 木曜日 09:00~17:00
    • 金曜日 09:00~17:00
    • 土曜日 09:00~17:00
0123-40-1818

最新のニュース

一覧を見る (60)

口コミ

このお店・施設に行ったことがありますか?あなたの体験や感想を投稿してみましょう。

このお店に関連する記事

一覧を見る(3)

基本情報

名称ほくよう歯科クリニック
フリガナホクヨウシカクリニック
住所066-0032 千歳市北陽6-18-3
電話番号0123-40-1818
営業時間
日曜日
定休日
月曜日
定休日
火曜日
09:00~17:00
水曜日
09:00~17:00
木曜日
09:00~17:00
金曜日
09:00~17:00
土曜日
09:00~17:00
駐車場あり
第2駐車場あり
開業日2018年11月1日
ホームページhttps://hokuyo-dental.com/
Instagramアカウントhttps://www.instagram.com/hokuyo_dentalclinic?utm_medium=copy_link
こだわり
ジャンル

まいぷれ[千歳・恵庭] 公式SNSアカウント